Caso do Mês Fev/2023:Papel dos novos agentes hormonais no tratamento do câncer de próstata
Manejo baseado em caso clínico.
Autores:
Dr. Luís Felipe Piovesan CRM-SC 8402 [TiSBU]
Dr. Ricardo Kupka da Silva CRM-SC 12492 [TiSBU]
Paciente:
♂︎, 74 anos (2018)
LUTS moderado (Combodart®)
• Segunda opinião (elevação de PSA = 7,8)
• DM controlado, 2 angioplastias (2012), ECOG 1
• TR: próstata 60g, sem nódulo evidente

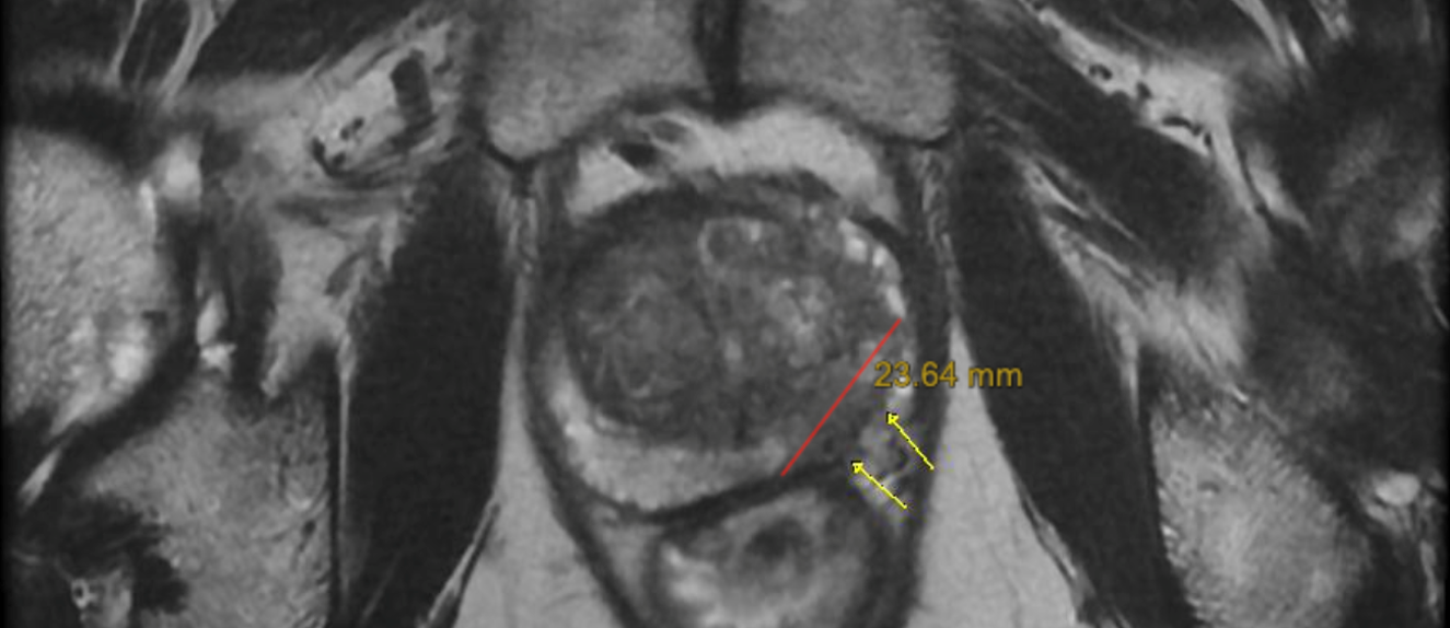
• RNMmp
– Nódulo 2,4cm (PI-RADS 5), pequena EEC e invasão de FVN esquerdo
– Linfonodos 1,7cm ilíaco externo E e 1,1cm ilíaco interno D

• Biópsia
– ISUP 3 (GS 4+3=7), 10+/18, todos à E e 1 à D(até 90%)
• Cintilografia óssea normal
• PRR
– ISUP 4 (GS 4+4=8), IAL+, IPN+, EEP à E, invasão de VSE, margens livres, LNs 6+/21 (pT3b R0 pN1)
– IUE muito leve
– DE moderada
♂, 74 anos (2018), ISUP 4 pT3b R0 pN1

♂, 74 anos (2018), ISUP 4 pT3b R0 pN1, PSA=4,3
• PET-TC PSMA
– LN ilíaco comum E 1,4cm (SUV=10,9), ilíaco comum D 1cm (SUV=6,7)
– 5 LNs mesentérico inferior e retais superiores até 0,9cm (SUV=3,1)

♂, 75 anos (2019), ISUP 4 pT3b R0 pN1 cM1a (NGI )

♂, 75 anos (2019), ISUP 4 pT3b R0 pN1 cM1a (NGI )
• Fogachos (TT<50)
• PET-TC PSMA
– Estabilidade de linfonodos
– Lesão óssea esclerótica 1,3 cm ísquio E (SUV=3,0)
Caso Clínico SBU SC Novos agentes hormonais Câncer de Próstata - Vídeo 1 de SBU SC
CMFev23-6-Tabela de SBU SC
CMFev23-7-JOURNAL de SBU SC
♂, 76 anos (2020), ISUP 4 pT3b R0 pN1 cM1b (NGI )
• Apalutamida 240mg
– Astenia e fadiga 5/10 (2 semanas) / Rush cutâneo 8/10 (4 semanas)
– Hipotireoidismo (TSH=6,99 / T4livre=0,97)
– Redução de dosepara 120mg(solução do quadro)

♂, 78 anos (2022), ISUP 4 pT3b R0 pN1 cM1b (NGI)

♂, 78 anos (2022), ISUP 4 pT3b R0 pN1 cM1b (NGI)
• HRR
– Painel de recombinação homóloga para câncer de próstata normal
• ATM, BARD1, BRCA1, BRCA2, BRIP1, CDK12,CHEK1, CHEK2, FANCL, PALB2, PPP2R2A, RAD51B, RAD51C, RAD51D, RAD54L, TP53
------
“It ain’t what you don’t know that gets you into trouble. It’s what you know for sure that just ain’t so.”
(Não é aquilo que você não sabe que acaba te metendo em encrencas, mas sim aquilo que você [tem certeza que] sabe, mas que no fundo está errado.)
Mark Twain, 1909
------
Conflitos de Interesse
De acordo com a legislação brasileira vigente*, declaro meus conflitos de interesse:
• Janssen (speaker ): Luís Felipe e Ricardo
* Norma 1595/2000 do Conselho Federal de Medicina
* Resolução RDC 96/2008 da Agência de Vigilância Sanitária
Declaração de conteúdo independente (Independentcontente declaration)
Este conteúdo foi elaborado de forma independente da influência da empresa patrocinadora,não tendo sofrido alterações ou edições por parte da mesma, refletindo a opinião autônoma do apresentador. (This content was prepared independently from the influence of the sponsoring company, and has not been altered or edited by it, reflecting the autonomousopinionof thepresenter.)