Caso do Mês: Set/2022: Tratamento de Cálculos Renais pela técnica de Dusting
Tratamento de Cálculos Renais pela técnica de Dusting com Thulium Fiber Laser
Autor:
Dr. Ernesto Reggio | CRM-SC 9574 Urologia RQE 4545
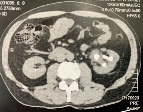
Litíase Renal - Thulium
Paciente:
-62 anos, masc.
-Antecedente de cirurgia percutânea há 8 anos
-Dor lombar esquerda recorrente
-Sem antecedentes mórbidos


-Anestesia geral
-Ureteroscopia semi rígida normal
-Bainha ureteral 10/12F
-Ureteroscópio Digital

Caso Clínico SBU SC Litíase Renal - Thulium - Vídeo de SBUSC
Caso Clínico SBU SC Litíase Renal - Thulium - Vídeo de SBUSC
Caso Clínico SBU SC Litíase Renal - Thulium - Vídeo de SBUSC
Sequência do tratamento:

Imagem Inicial e final:

-Tempo cirúrgico – 94 minutos
-Alta no 1oPO
-Retirada do Duplo J no 7o PO
-Eliminou vários pequenos fragmentos
-TC com 30 dias – livre de cálculo